Introduction - case 189 (ultrasonographic picture 10)


Previous picture Back to Case Next picture

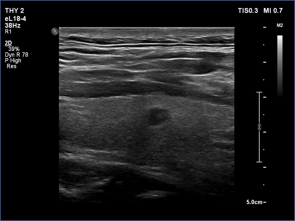
Right lobe, longitudinal scan

Left lobe, longitudinal scan. The whole dorsal part of the lobe is moderately hypoechoic.

 

 

 

 

 

 

 

mask