Introduction - case 447 (cytologic picture 3)


Previous picture Back to Case Maximize Next picture

Right lobe, longitudinal scan

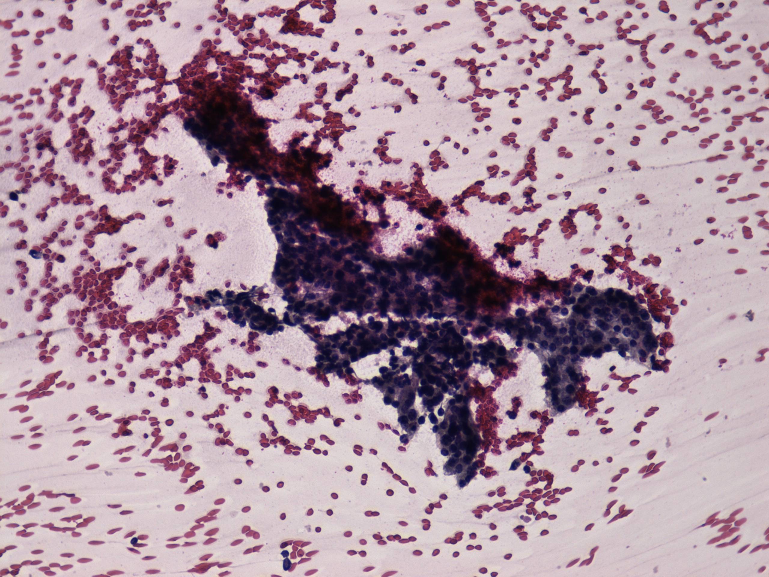
Pap-smear, 200x.   Arborizing monolayered sheets composed of monomorphous cells.

 

 

 

mask