Menu
Papillon Course 2024-25
Home
Case of the Month
Webinars
1 Introduction
Introductory courses
Home
Execution
Basic settings
Epidemiology
Physical basis
Discrete lesions
Role of US
Other imaging tools
Nomenclature
Cases
2 Nodular goiter
3 Non-nodular thyroid
4 Non-thyroid neck
5 US-interventions
6 Advanced courses
7 Related topics
Supplement
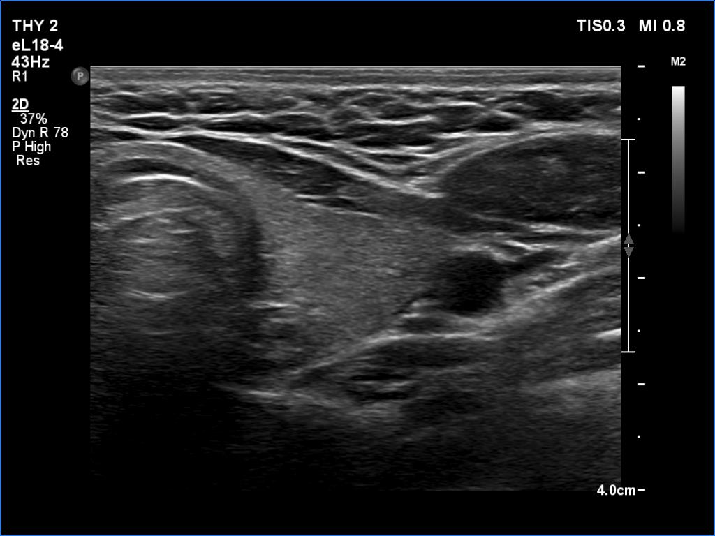
Introduction - case 487 (ultrasonographic picture 11)
Left lobe, transverse scan. This lobe is intact.