Introduction - case 745 (ultrasonographic picture 6b)
|
|
|
|
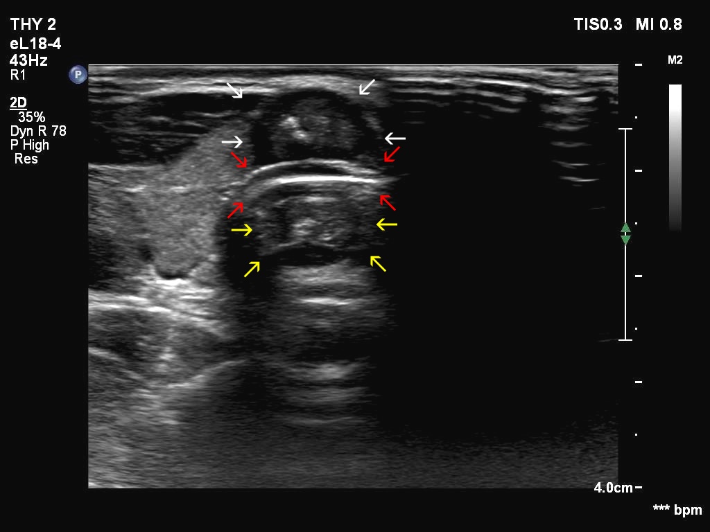
Isthmus, transverse scan. The nodule ventral to the trachea is marked with white arrows, the complex wall of the trachea is with red arrows. The structure dorsal to the trachea (yellow) arrows is the mirror image artifact of the nodule.
