Introduction - case 816 (ultrasonographic picture 7)


Previous picture Back to Case Next picture

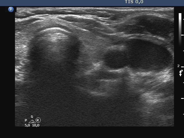
Right lobe, longitudinal scan

Left lobe, transverse scan. There are some minimally hypoechoic fields within this lobe.

 

 

 

 

 

 

 

mask