The echogenicity of the nodule - case 1740 |
|
Clinical presentation: A 52-year-old man was referred for evaluation of a multinodular goiter discovered on carotid Doppler examination.
Palpation: There was a not firm nodule in the right lobe and a firm lesion in the medial part of the left lobe.
Laboratory tests: TSH 0.88 mIU/L, anti-TPO 0.6 U/mL.
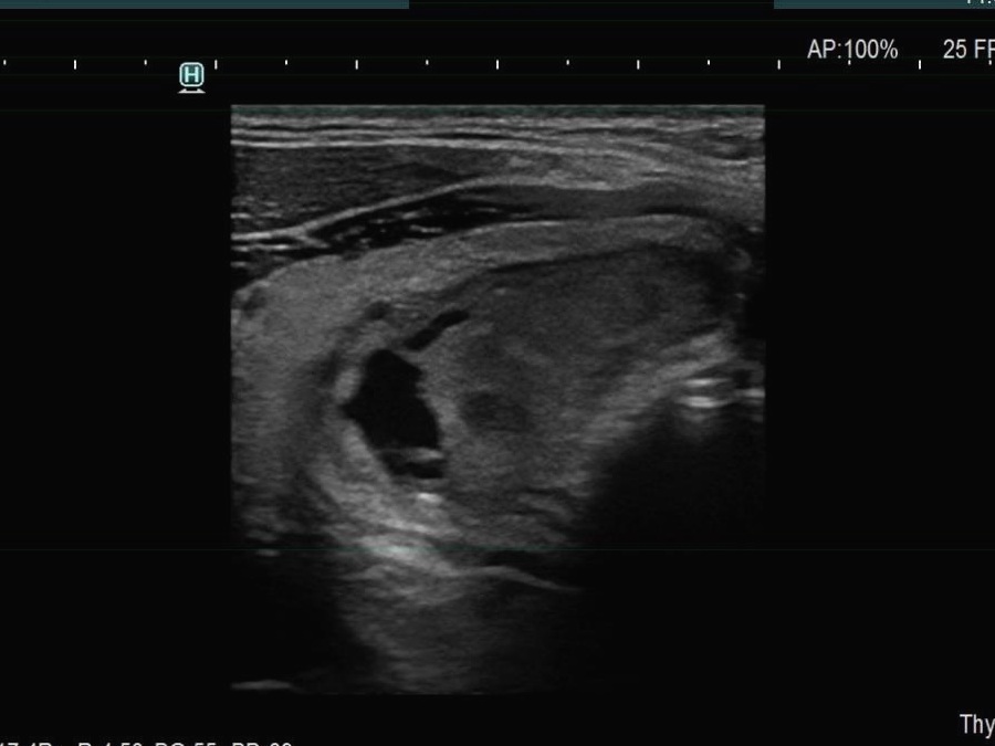
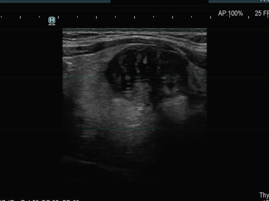
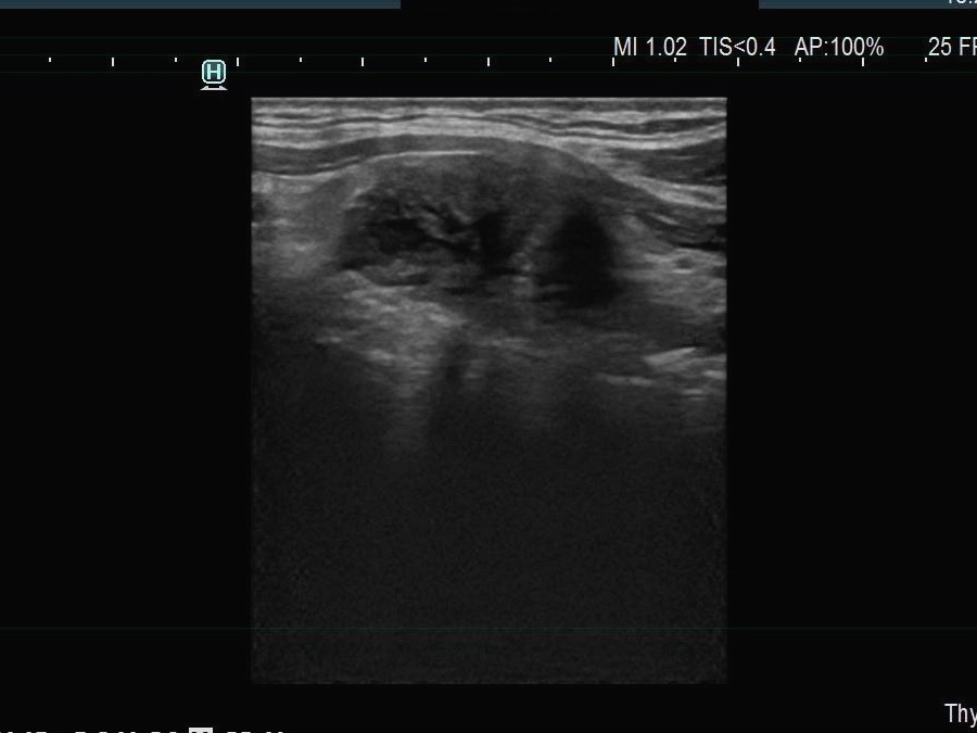
Ultrasonography. The thyroid was echonormal. There were multiple smaller lesions in the right lobe. The largest one was minimally hypoechoic and presented with halo and perinodular vascularity. A large, hypoechoic nodule occupied almost the entire left lobe. The nodule had lobulated and spiculated margins and bulged into the sternocleidomastoid muscle. The vascularity was not specific.
FNA of the left nodule resulted in papillary cancer.
Total thyroidectomy and left lymphadenectomy was performed. Histopathology disclosed papillary cancer according to the nodule in the left lobe. Gross extrathyroidal extension was found into the adipose tissue and the strap muscle.
Comments.
-
This case illustrates the weakness of ultrasound in judging extrathyroidal extension.
-
It is mandatory to check the settings before every examination regarding the echogenicity of the strap muscle. If we do not see echoes within the darkest parts of the muscle, we should either increase the gain or decrease the frequency.








