Menu
Papillon Course 2024-25
Home
Case of the Month
Webinars
1 Introduction
2 Nodular goiter
Nodule' echogenicity
Chapter Home
Introduction
Videolecture
Manual
Courses
Cases
Videolibrary
Exam
3 Non-nodular thyroid
4 Non-thyroid neck
5 US-interventions
6 Advanced courses
7 Related topics
Supplement
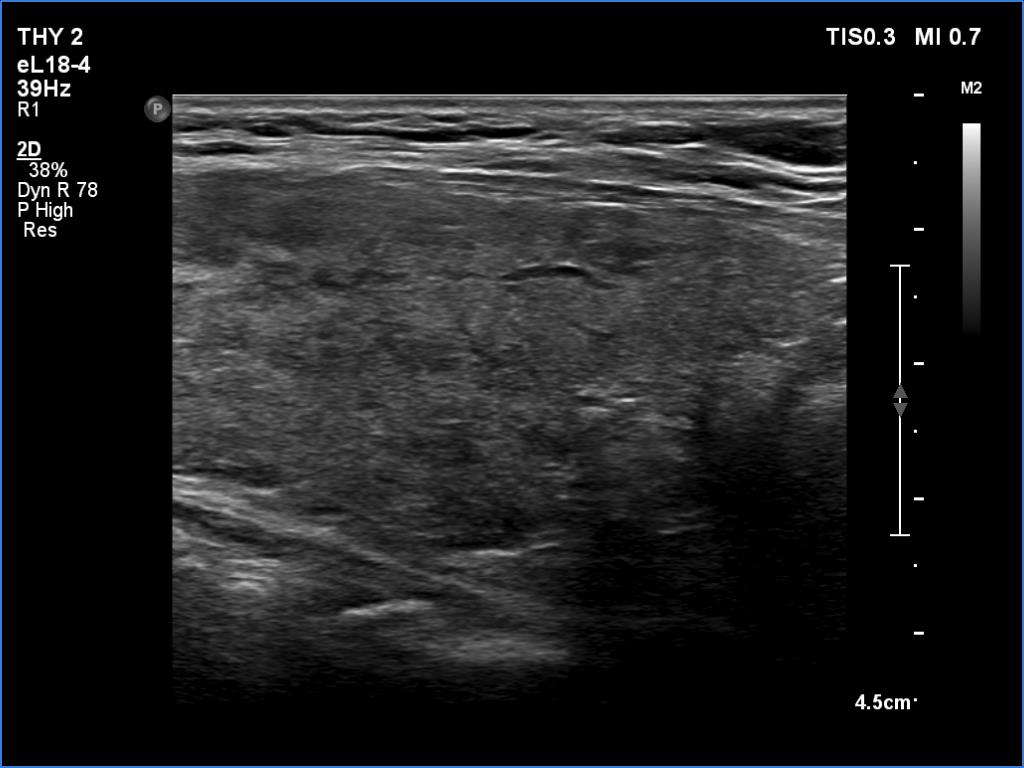
The echogenicity of the nodule - case 2151
Three years after the first examination (ultrasonographic picture 7)
Left lobe, longitudinal scan.