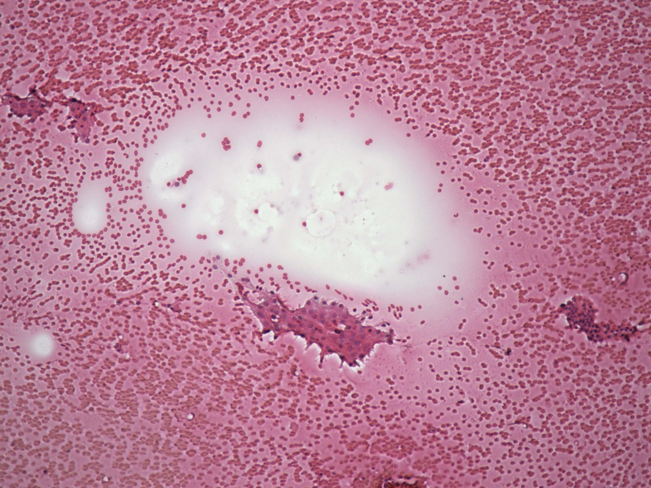
Study on 100 consecutive patients with thyroid nodule - case 004 (cytologic picture 1)
|
|
|
![]() |
|
Pap-smear, 100x. There is diffuse colloid in the background. Follicular cells are found in cohesive groups.

