Study on 100 consecutive patients with thyroid nodule - case 005 (ultrasonographic picture 2)


Previous picture Back to Case Next picture

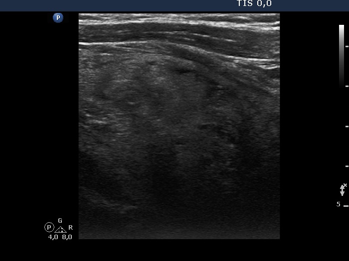
Right lobe, longitudinal scan

Right lobe, longitudinal view. The lobe has very low proportion of nurmal tissue.

 

 

 

 

 

 

 

mask