Study on 100 consecutive patients with thyroid nodule - case 014 (cytologic picture 4)


Previous picture Back to Case Maximize Next picture

Right lobe, longitudinal scan

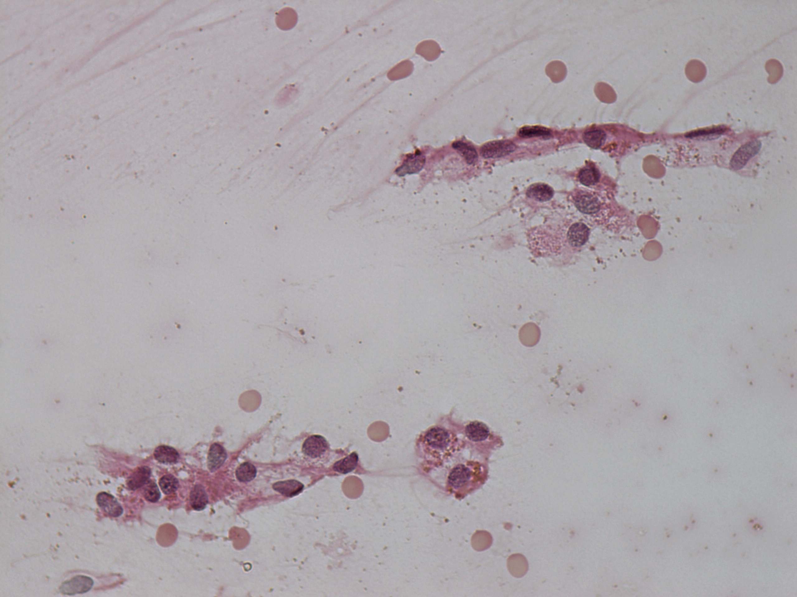
Pap-smear, 400x.   Two follicular cells on the right present signs of cystic degeneration.

 

 

 

 

 

mask