Study on 100 consecutive patients with thyroid nodule - case 014 (cytologic picture 6)


Previous picture Back to Case Maximize  

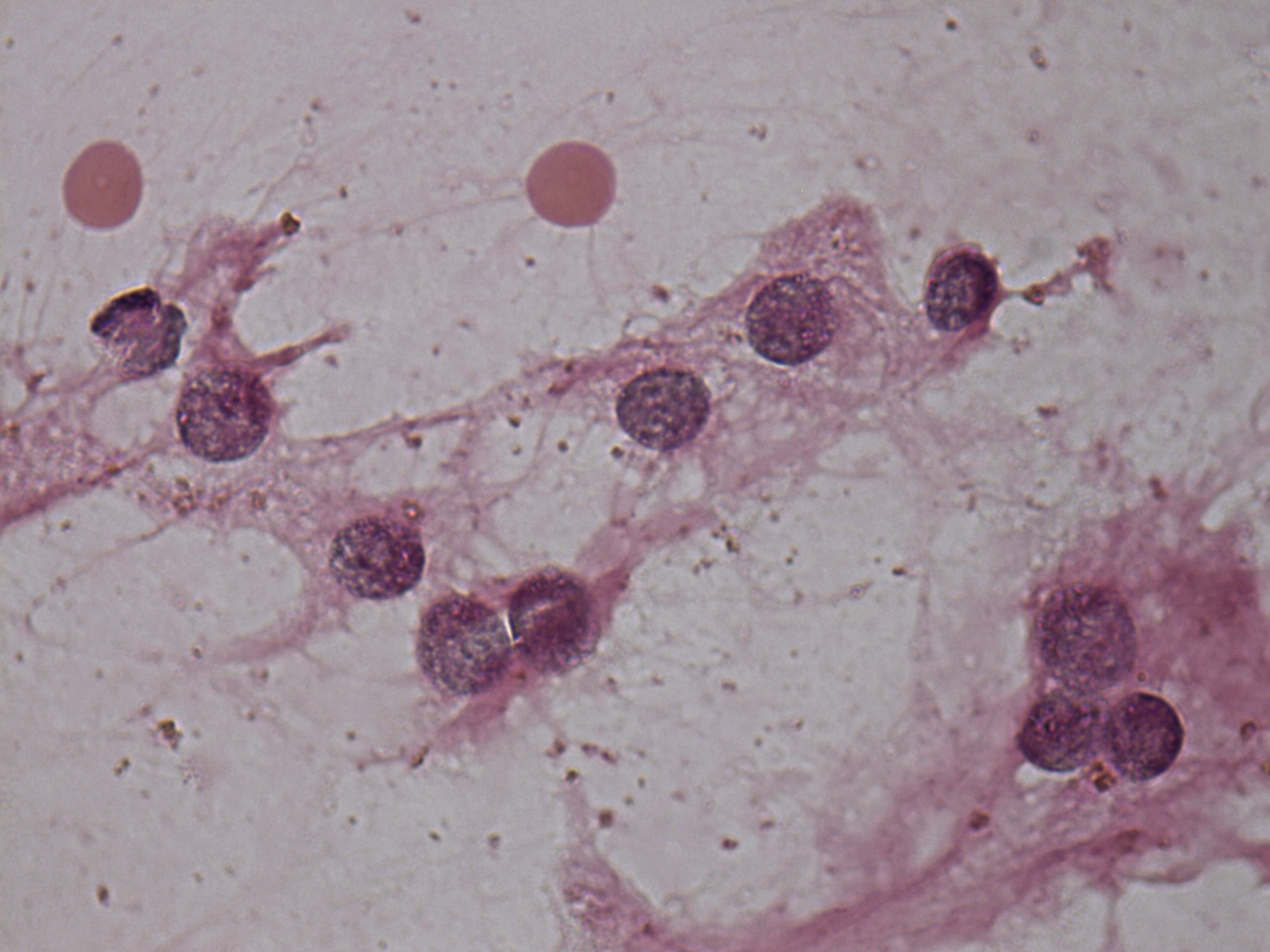
Right lobe, longitudinal scan

Pap-smear, 1000x.   Follicular cells are uniform is size and do not display significant atypia.

 

 

 

 

 

mask