Menu
Papillon Course 2024-25
Home
Case of the Month
Webinars
1 Introduction
2 Nodular goiter
3 Non-nodular thyroid
4 Non-thyroid neck
5 US-interventions
6 Advanced courses
7 Related topics
Supplement
Supplementum
Chapter Home
Nodular goiters
Papillary cancers
Day 1 in thyroid unit
TIRADS study
Hashimoto's cases
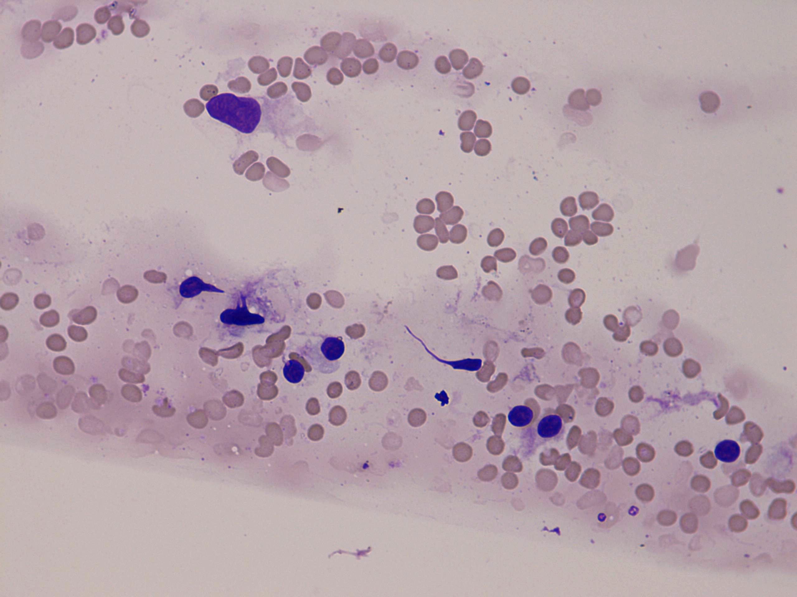
Study on 100 consecutive patients with thyroid nodule - case 018 (cytologic picture 4)
Wright-Giemsa staining, 400x.