Study on 100 consecutive patients with thyroid nodule - case 022 (cytologic picture 6)


Previous picture Back to Case Maximize  

Right lobe, longitudinal scan

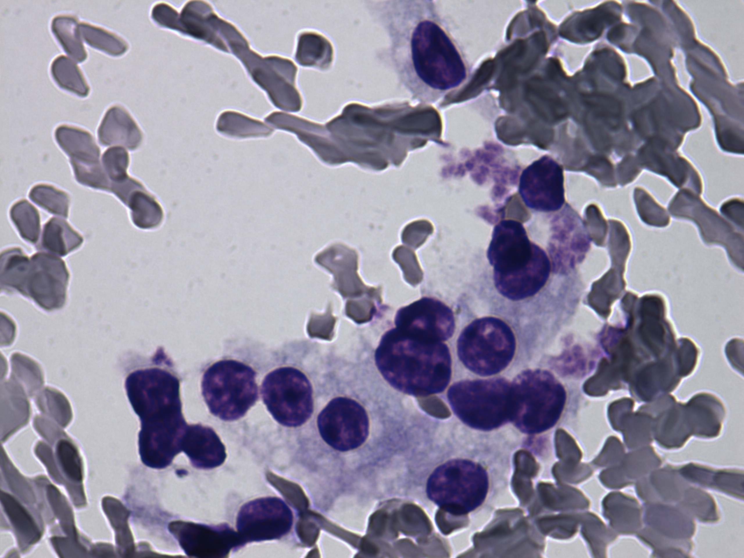
Wright-Giemsa staining, 1000x.   Follicular cells show no significant atypia.

 

 

 

 

 

mask