Study on 100 consecutive patients with thyroid nodule - case 037 (cytologic picture 3)


Previous picture Back to Case Maximize Next picture

Right lobe, longitudinal scan

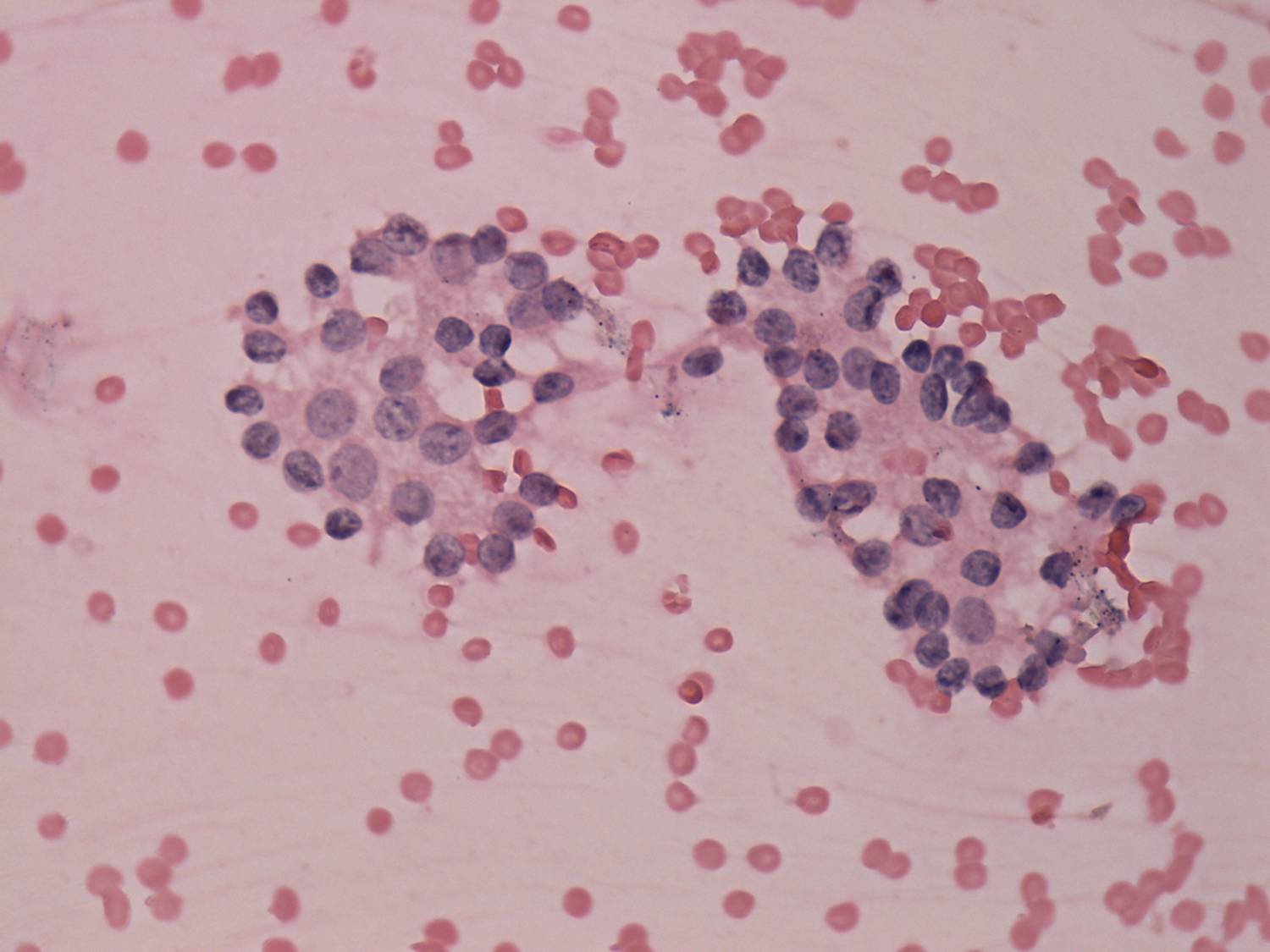
Pap-smear, 400x.   There is a slight variability both in nuclear' size and in shape.

 

 

 

 

 

mask