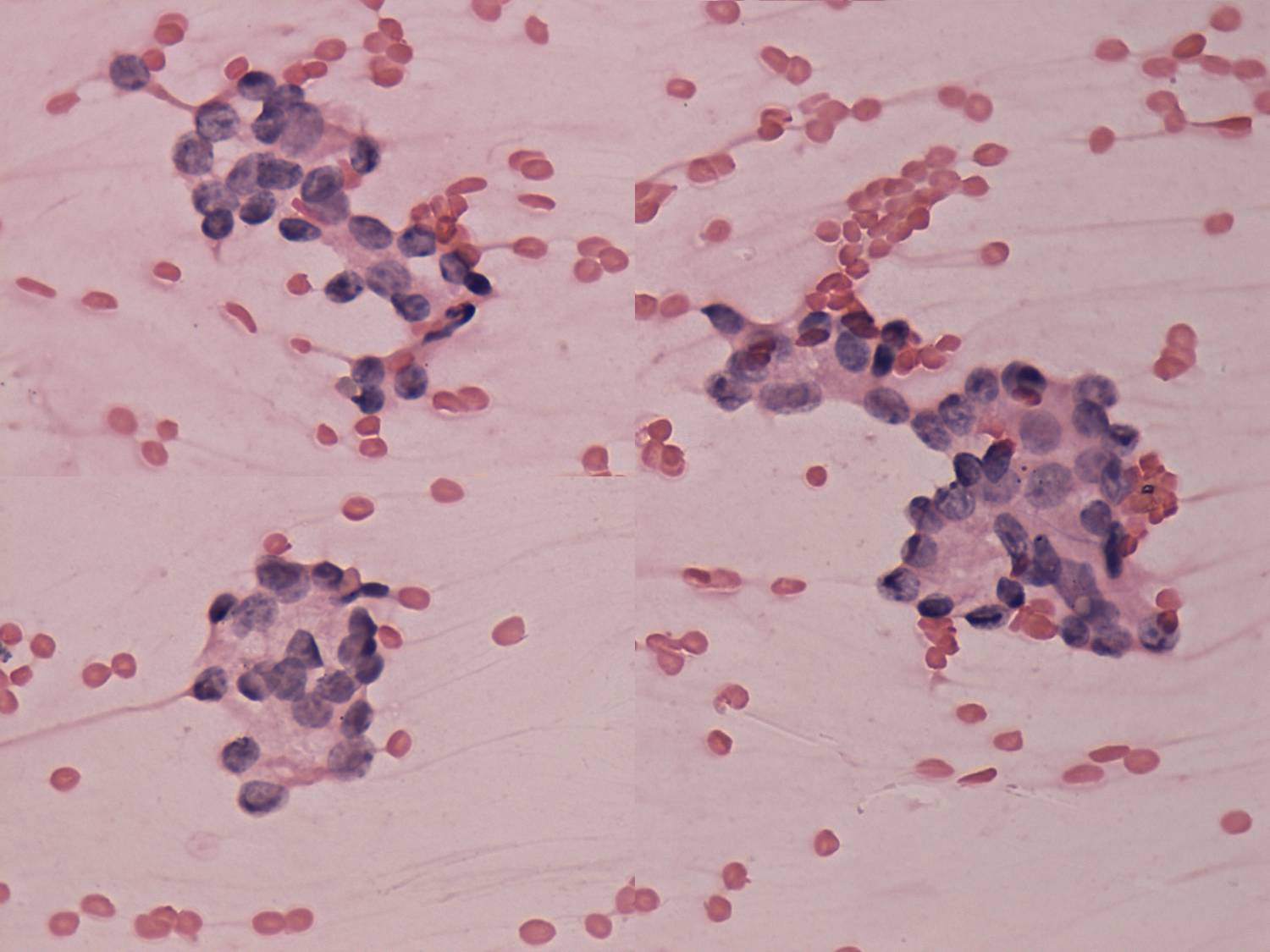
Study on 100 consecutive patients with thyroid nodule - case 037 (cytologic picture 5)
|
|
|
![]() |
|
Pap-smear, 400x. Normofollicles are demonstrated. These structures are not regular because some of the follicular cells have lost their polarity.

