Study on 100 consecutive patients with thyroid nodule - case 038 (ultrasonographic picture 6)


Previous picture Back to Case Next picture

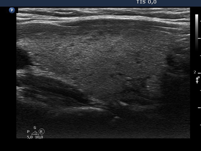
Right lobe, longitudinal scan

Left lobe, longitudinal view. The echogenicity index is around 5%.

 

 

 

 

 

mask