Study on 100 consecutive patients with thyroid nodule - case 043 |
|
Clinical presentation: A 31-year-old woman was referred to evaluation of nodular goiter has been known for several years. The patient noticed a slow increase in nodule size.
Palpation: a firm nodule in the right thyroid.
Functional state: euthyroidism with TSH 2.81 mIU/L.
Ultrasonography. The thyroid was echonormal. There was a minimally hypoechogenic nodule in the right lobe. The lesion contained multiple microcalcifications.
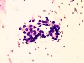
Cytology itself was not reassuring but was not diagnostic of papillary carcinoma.
Combined ultrasound-cytological diagnosis was suspicion of papillary carcinoma.
Histopathology disclosed papillary carcinoma.
Comment. This case illustrates the importance of the team-approach. The cytology itself was itself not enough to raise the suspicion of papillary carcinoma while the ultrasound pattern was highly suspicious.














