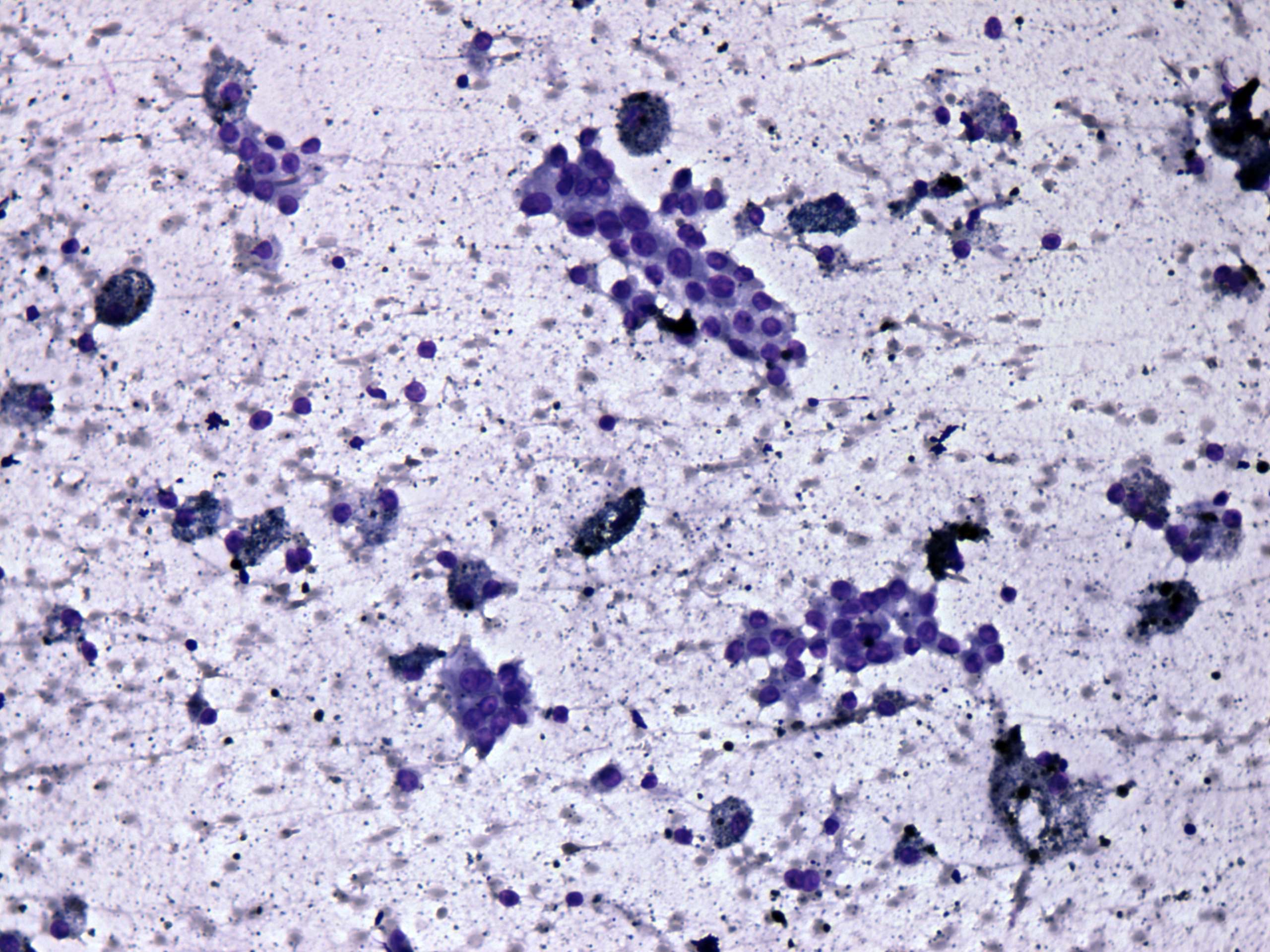
Study on 100 consecutive patients with thyroid nodule - case 058 (cytologic picture 3)
|
|
|
![]() |
|
Wright-Giemsa staining, 200x. Follicular cell groups present nuclear crowding and overlapping.

