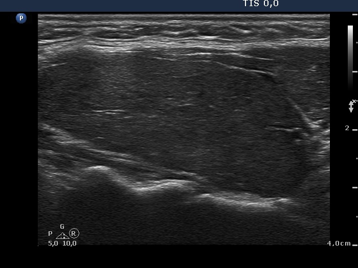
Consecutively operated patients with autoimmune thyroid disease - case 12 (1427) (ultrasonographic picture 6)
|
|
|
|
Left lobe, longitudinal view. Note the two less hypoechoic areas in the ventral part of the lobe which are probably less influenced by the underlying autoimmune process than other parts of the thyroid.
