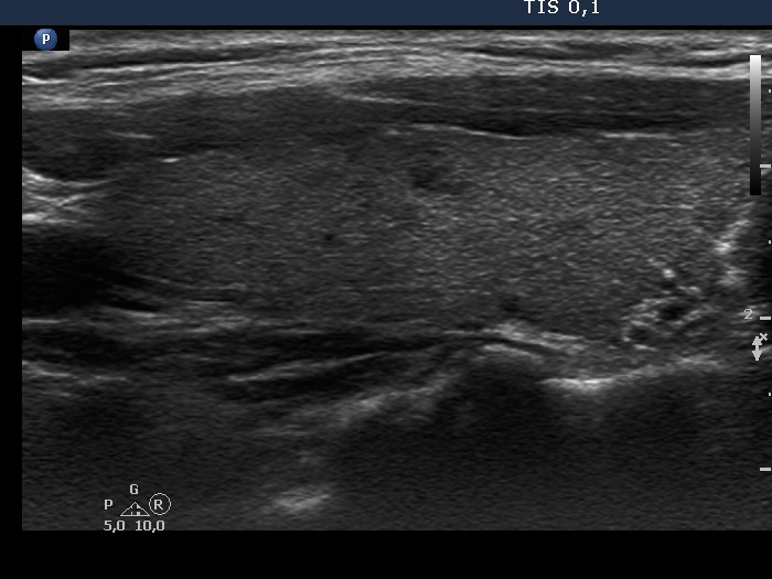
Consecutive patients with the final diagnosis of Hashimoto's thyroiditis - case 24 (10) (ultrasonographic picture 2)
|
|
|
|
Right lobe, longitudinal scan. The upper part of the lobe is minimally-moderately hypoechogenic while the lower part is almost echonormal but more, inhomogeneous.
