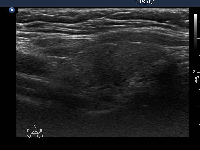
Consecutive patients with the final diagnosis of Hashimoto's thyroiditis - case 30 (246) (ultrasonographic picture 2)
|
|
|
|
Right lobe, longitudinal scan. There is an irregularly shaped hypoechogenic area in the middle portion of the lobe.
