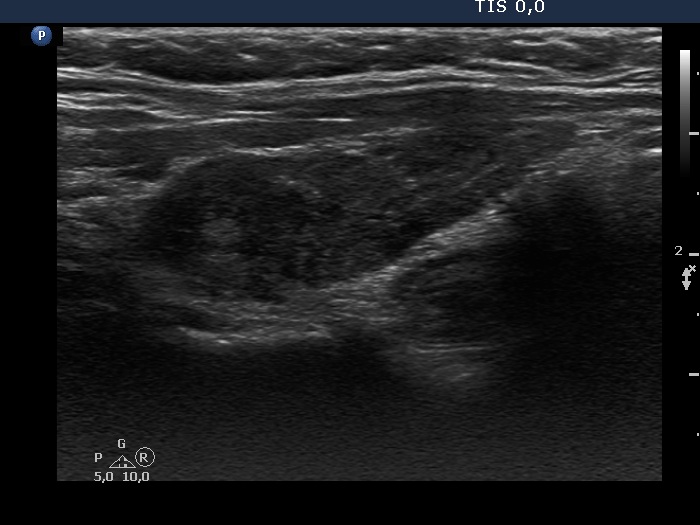
Consecutive patients with the final diagnosis of Hashimoto's thyroiditis - case 35 (1620) (ultrasonographic picture 6)
|
|
|
|
Left lobe, longitudinal view. There are echonormal islets within this lobe.
