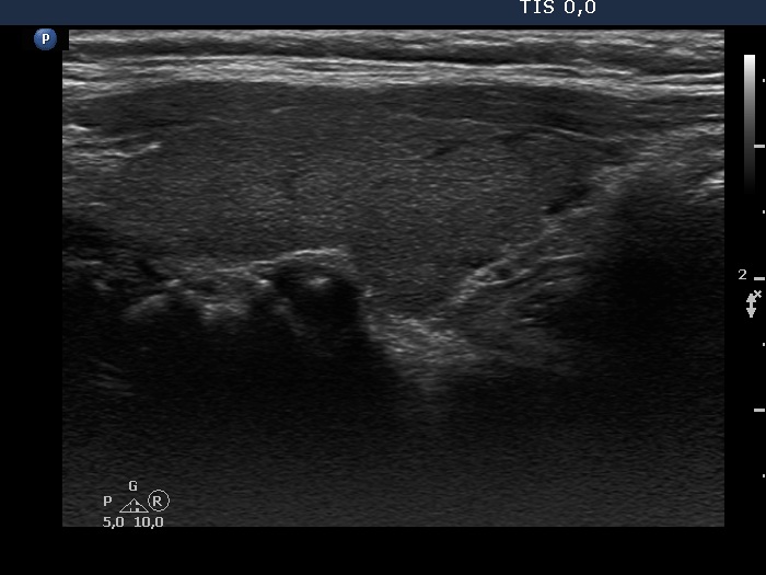
Consecutive patients with the final diagnosis of Hashimoto's thyroiditis - case 53 (101) (ultrasonographic picture 2)
|
|
|
|
Right lobe, longitudinal view. The small discrete areas make a pseudonodular appearance to the lobe.
