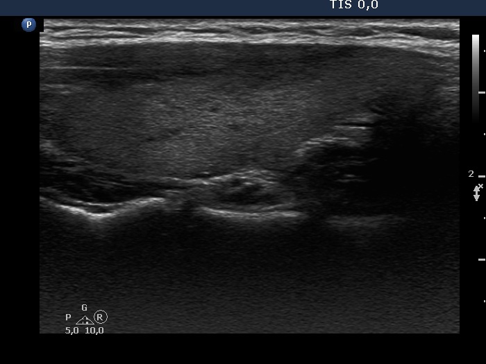
Consecutive patients with the final diagnosis of Hashimoto's thyroiditis - case 54 (767) (ultrasonographic picture 6)
|
|
|
|
Left lobe, another longitudinal view. The moderately hypoechogenic area is demonstrated in another section.
