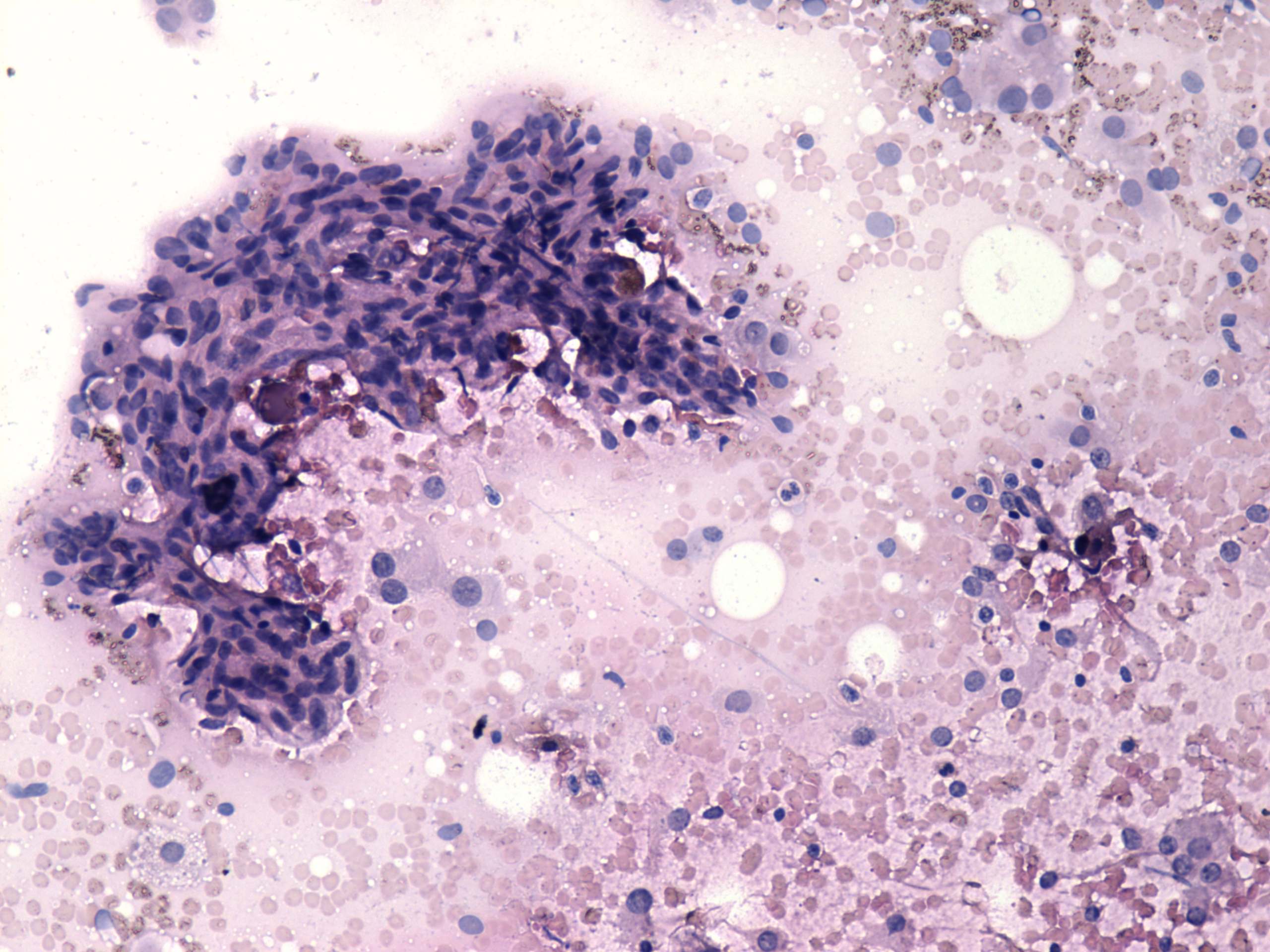
Consecutive patients with the final diagnosis of Hashimoto's thyroiditis - case 62 (554) (cytologic picture 3)
|
|
|
![]() |
|
Pap-smear, 200x. There is a large fragment which is typical of Hashimoto's thyroiditis.

