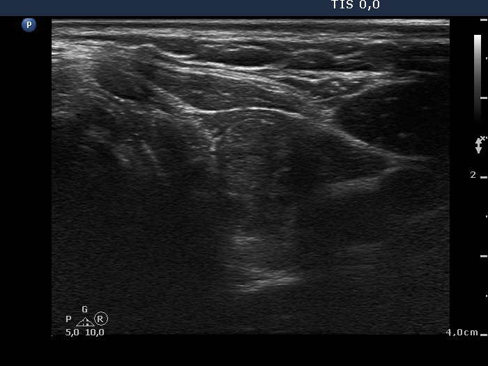
Discrete lesion or nodule in Hashimoto's thyroiditis - case 1 (1615) (ultrasonographic picture 4)
|
|
|
|
Left lobe, transverse view. There is an echonormal, inhomogeneous discrete lesion in the hypoechogenic lobe.
