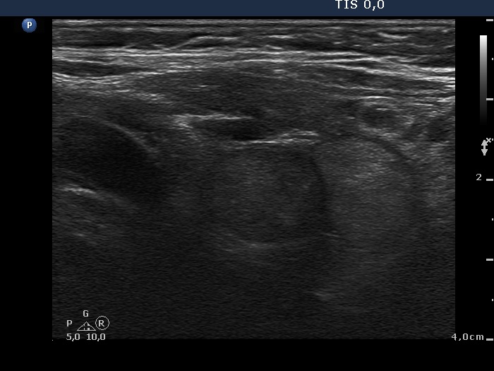
Discrete lesion or nodule in Hashimoto's thyroiditis - case 4 (104) (ultrasonographic picture 6)
|
|
|
|
Left lobe, another longitudinal view. The doubtful hypoechogenic lesion and an echonormal pseudonodule are presented.
