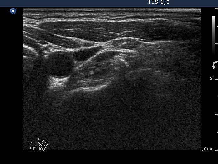
100 consecutive cases of papillary cancer - case 008 (ultrasonographic picture 5)


Previous picture Back to Case Next picture


Lateral to the left lobe, transverse scan. A reactive-type lymph node is presented with regular hilum.

 

 

 

mask