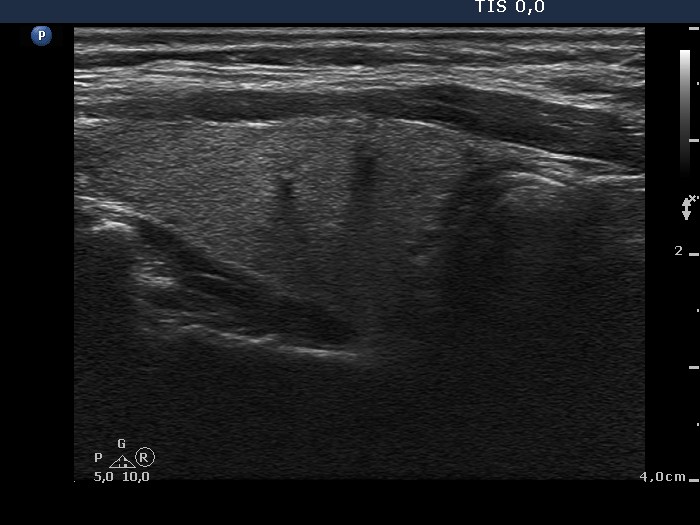
100 consecutive cases of papillary cancer - case 013 (ultrasonographic picture 2)
|
|
|
|
Right lobe, longitudinal scan. There are several small hypoechogenic areas within this previously resected lobe.
