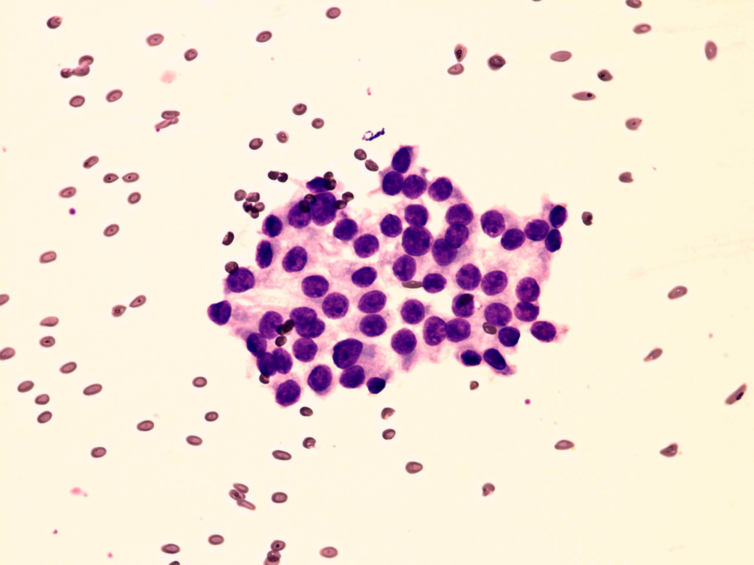
100 consecutive cases of papillary cancer - case 023 (cytologic picture 4)


Previous picture Back to Case Maximize Next picture

Right lobe, longitudinal scan

Wright-Giemsa staining, 400x.   Several nuclei present a groove-like figure.

mask