100 consecutive cases of papillary cancer - case 027 (cytologic picture 12)


Previous picture Back to Case Maximize Next picture

Right lobe, longitudinal scan

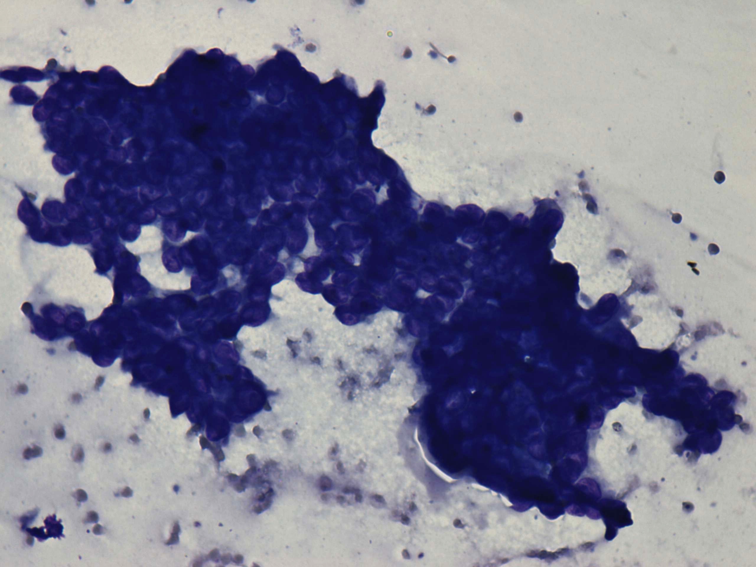
Wright-Giemsa staining, 400x.   A typical papillary cell group with nuclear crowding.

mask