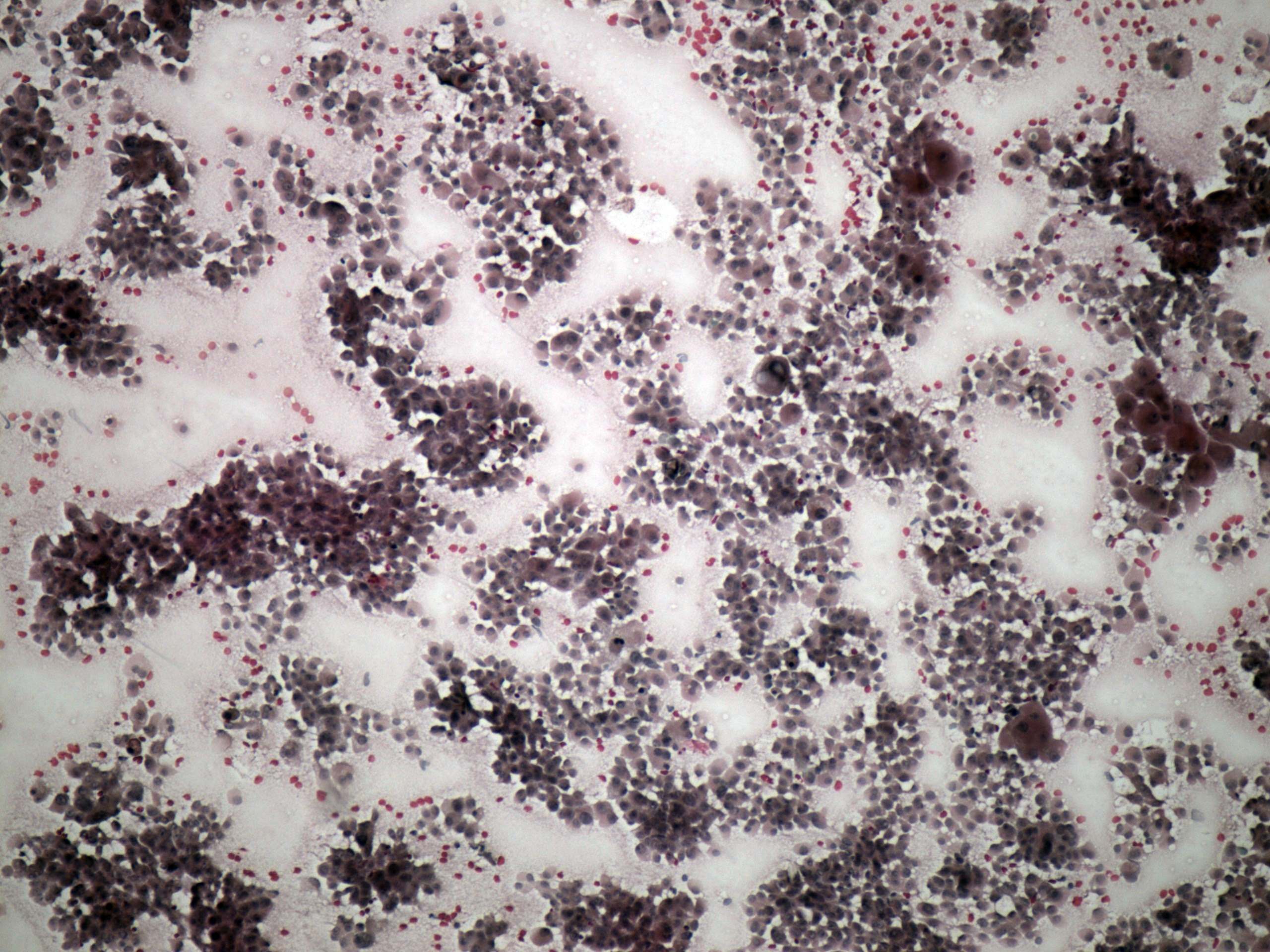
100 consecutive cases of papillary cancer - case 046 (cytologic picture 2)


Previous picture Back to Case Maximize Next picture

Right lobe, longitudinal scan

Pap-smear, 100x.  Follicular cells have abundant cytoplasm and prominent nucleolus.

 

 

 

 

 

mask