The composition of the nodule - case 1497 |
|
Clinical presentation: A 62-year-old woman was referred for aspiration cytology of a thyroid nodule. The patient has noticed a lump in the left lobe for two weeks.
Palpation: a painless, very hard mass in the left thyroid lobe.
Laboratory examination: TSH 1.62 mIU/L.
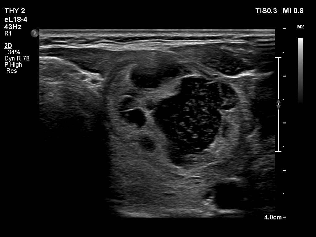
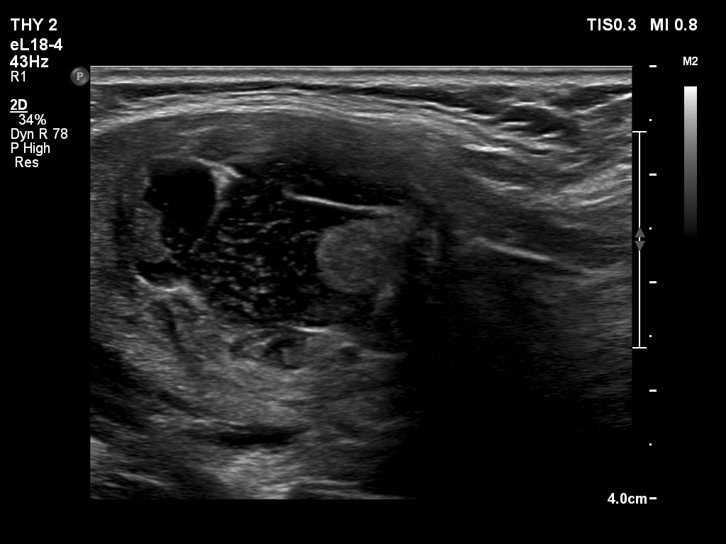
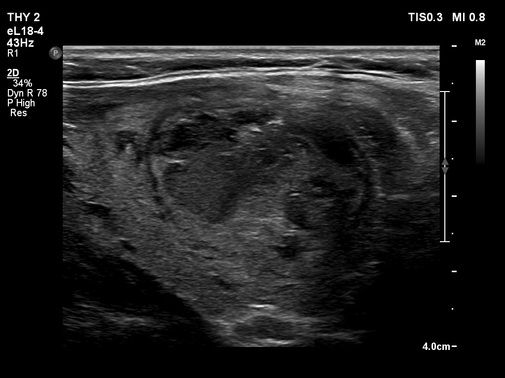
Ultrasonography. The thyroid was echonormal. The right lobe contained several discrete areas without any clinical significance. There was multi-chambered cystic nodule in the left lobe. The nodule had echonormal solid part and presented halo sign.
Six mL brown fluid was removed from the nodule. Cytological diagnosis: cystic degeneration.
Suggestion: repeat ultrasound in a year or in the event of refilling. Sclerotherapy is planned if the cyst will recur.
Comments.
- The distinction between a multi-chambered cyst and a spongiform cyst is important, because in the latter the risk of malignancy is practically zero. In spongiform cysts almost the entire nodule is composed of cystic areas, and there is very small proportion of solid areas.
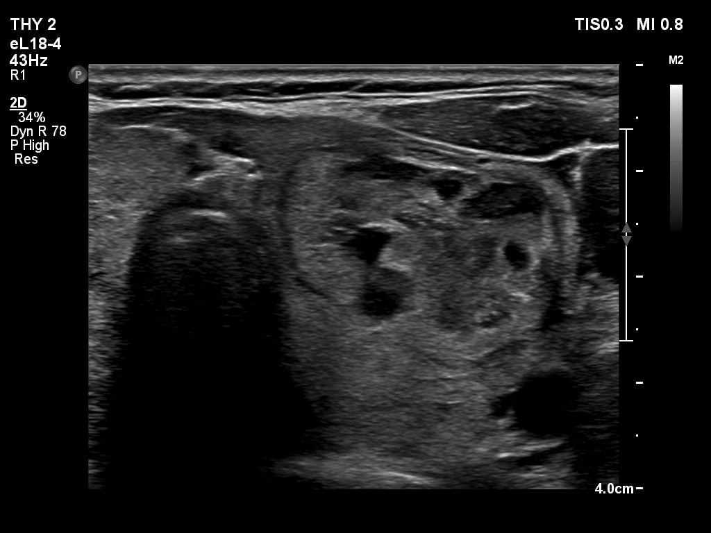
- The cyst has just started refilling after the evacuation.









