The composition of the nodule - case 6 |
|
Clinical presentation: A 39-year-old pregnant woman was referred for ethanol sclerotherapy on her 16th gestational week. The patient had been known harboring a nodule for 9 years. Even at the first examination a subclinical hyperthyroidism was detected. At this time scintigraphy detected a partly "cold", partly "warm'" nodule. Surgery was suggested on each visit, but the patient refused the proposal because she had no complaints. She has never got any medication. The largest diameter of the nodule has increased from 37 mm to 46 mm over the past 6 years.
Palpation: The right lobe was suspicious having a hard nodule while the left lobe was enlarged and nodular on palpation.
Result of blood tests: TSH 0.01 mIU/L, FT4 12.1 pM/L, FT3 6.30 pM/L.
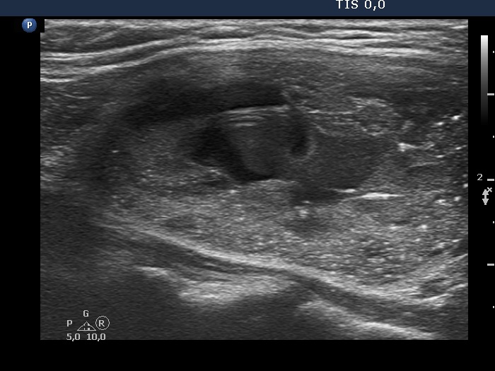
Ultrasonography. The thyroid was echonormal. There was a nodule presenting coarse calcification along its ventral surface. There was a spongiform-type cyst in the left lobe. The nodule has numerous echogenic figures most of them were caused clearly by posterior back wall enhancement.
Eight mL bloody cystic fluid was aspirated. After I aspirated 4 mL fluid, I have noticed that the cyst began to refill at once and a few minutes later the cyst became as large as before the aspiration.
Suggestion: I did not perform sclerotherapy because of the lack of experience with at once refilling cysts. I'm not aware whether anyone had performed sclerotherapy in such cysts. A hormonal evaluation in 4 weeks was suggested.
Comment. An at once refilling cyst is not a rare finding. I present two more cases in thyrosite. You can find a case of a traumatic cyst here, and another case here.








