Menu
Home
2 Nodular goiter
Echogenic figures
Cases
3 Non-nodular thyroid
4 Non-thyroid neck
5 US-interventions
6 Advanced courses
Supplement
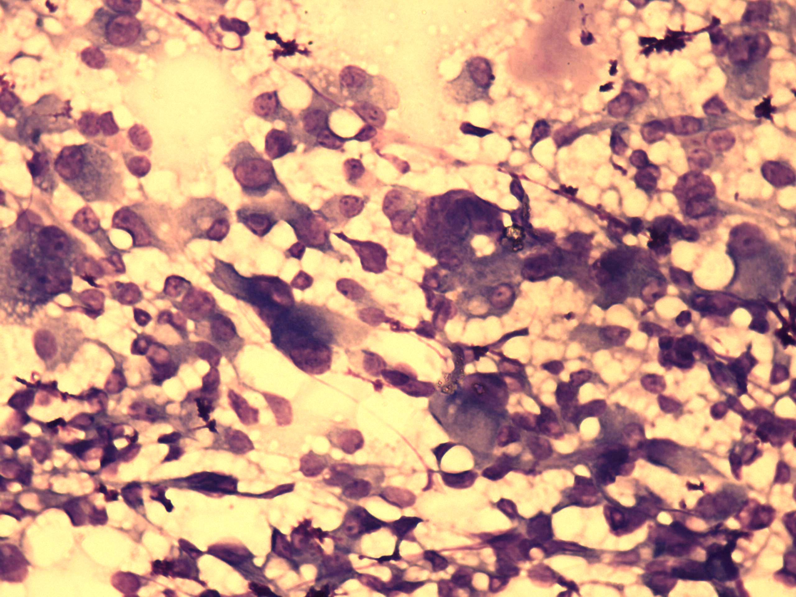
Intranodular hyperechogenic figures - case 1197 (cytologic picture 6)
Wright-Giemsa staining, 400x.