Intranodular hyperechogenic figures - case 1197 |
|
Clinical presentation: A 32-year-old woman was referred for an evaluation of a nodule discovered by herself for 6 months.
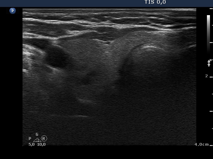
Palpation: There were two palpable nodules in the left thyroid, the lower one was hard on palpation.
Functional state: euthyroidism with TSH 0.87 mIU/L.
Ultrasonography. There were two nodules in the left lobe. The upper one was echonormal while the lower hypoechogenic one contained microcalcification and a cotton-like larger hyperechogenic patch and presented an irregular shape and an intranodular vascularity.
Cytological diagnosis: suspicion of medullary carcinoma.
Blood test for calcitonin: serum-level of calcitonin was 13.7 pM/L (normal value: 0-3.36).
Histopathology: medullary cancer.










