Intranodular hyperechogenic figures - case 1197 (cytologic picture 2)


Previous picture Back to Case Maximize Next picture


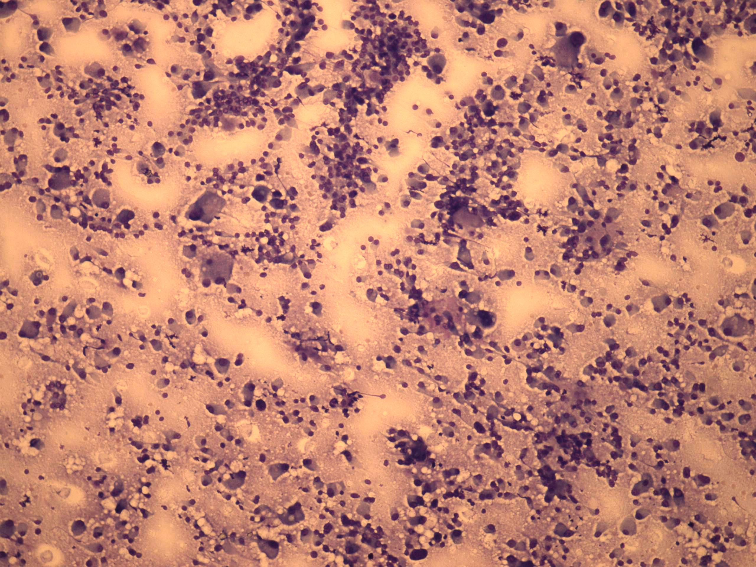
Wright-Giemsa staining, 100x.   This is a very cellular pattern. Note abundant cytoplasm.

mask