Intranodular hyperechogenic figures - case 1197 (cytologic picture 3)


Previous picture Back to Case Maximize Next picture


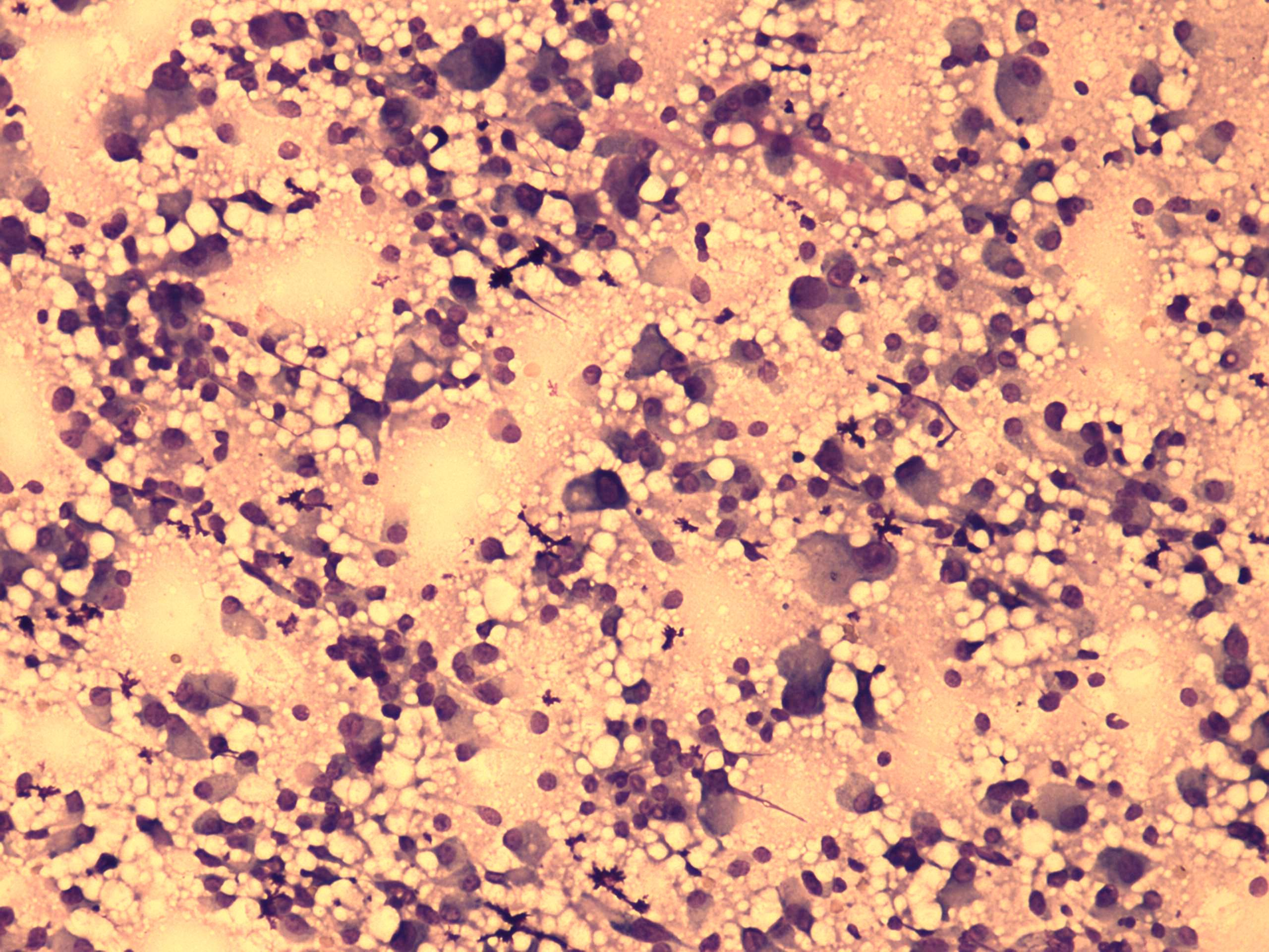
Wright-Giemsa staining, 200x.   Neither of the cell groups corresponds to a follicle.

mask