Menu
Home
2 Nodular goiter
Echogenic figures
Cases
3 Non-nodular thyroid
4 Non-thyroid neck
5 US-interventions
6 Advanced courses
Supplement
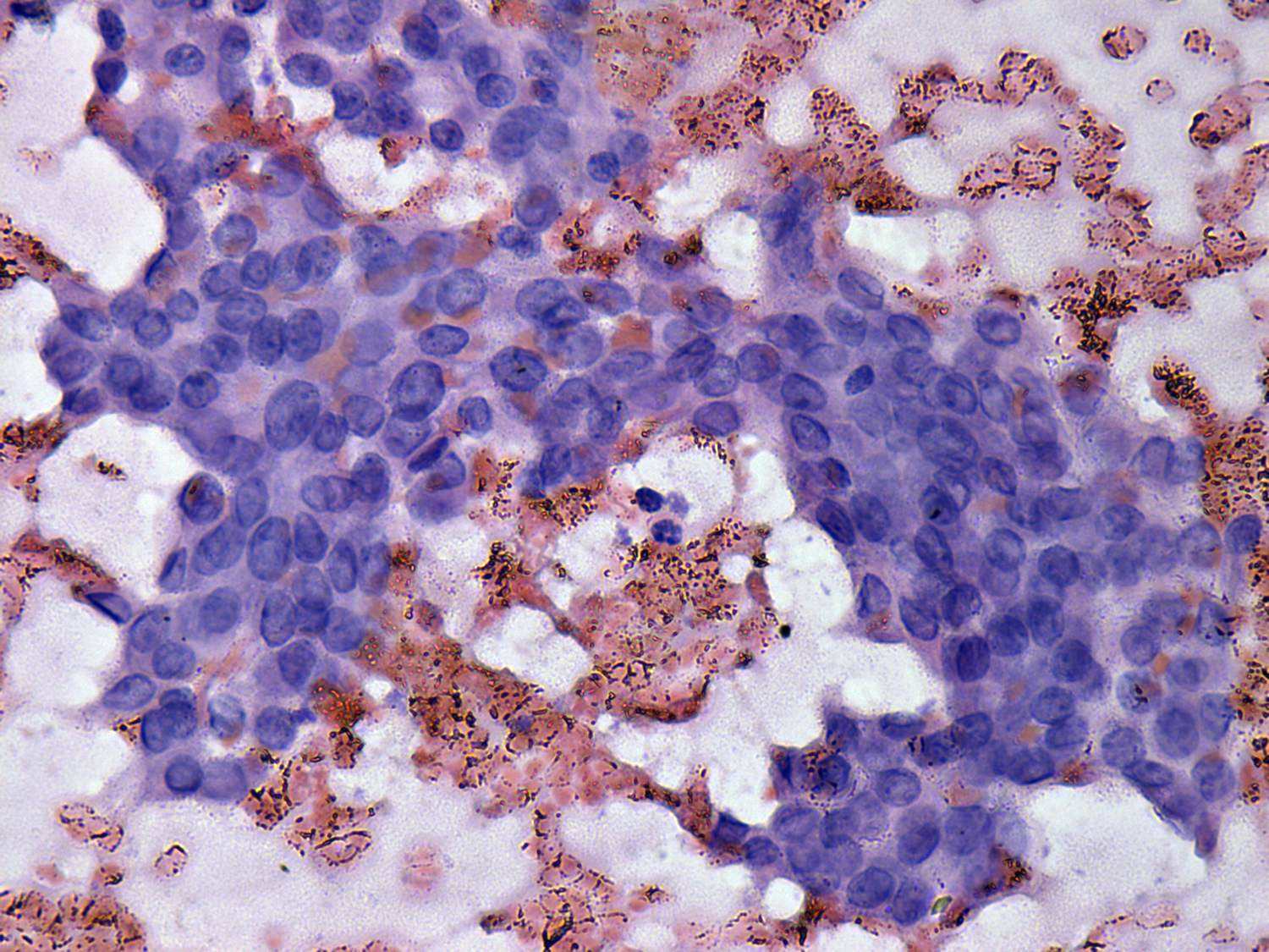
Intranodular hyperechogenic figures - case 401
(cytologic picture 5 of
papillary
cancer)
Pap-smear, 1000x. This is an arborizing papillary structure.