Menu
Home
2 Nodular goiter
Echogenic figures
Cases
3 Non-nodular thyroid
4 Non-thyroid neck
5 US-interventions
6 Advanced courses
Supplement
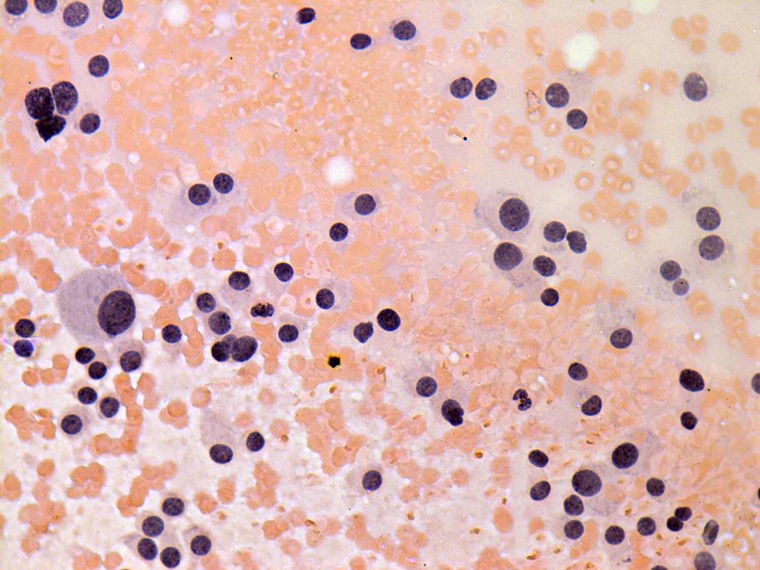
Intranodular hyperechogenic figures - case 401
(cytologic picture 3 of
medullary
cancer)
Pap-smear, 400x. Cells have abundant cytoplasm with eccentric nuclei.