Intranodular hyperechogenic figures - case 401
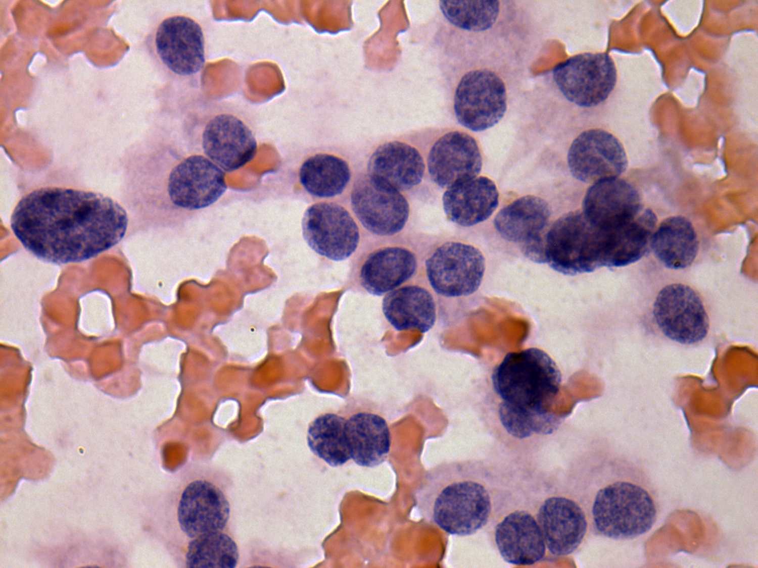
(cytologic picture 6 of medullary cancer)
| |
|
|
Pap-smear, 1000x. There is an atypical pleomorphic form on the left side of the image. Most of the cells are uniform in size.

