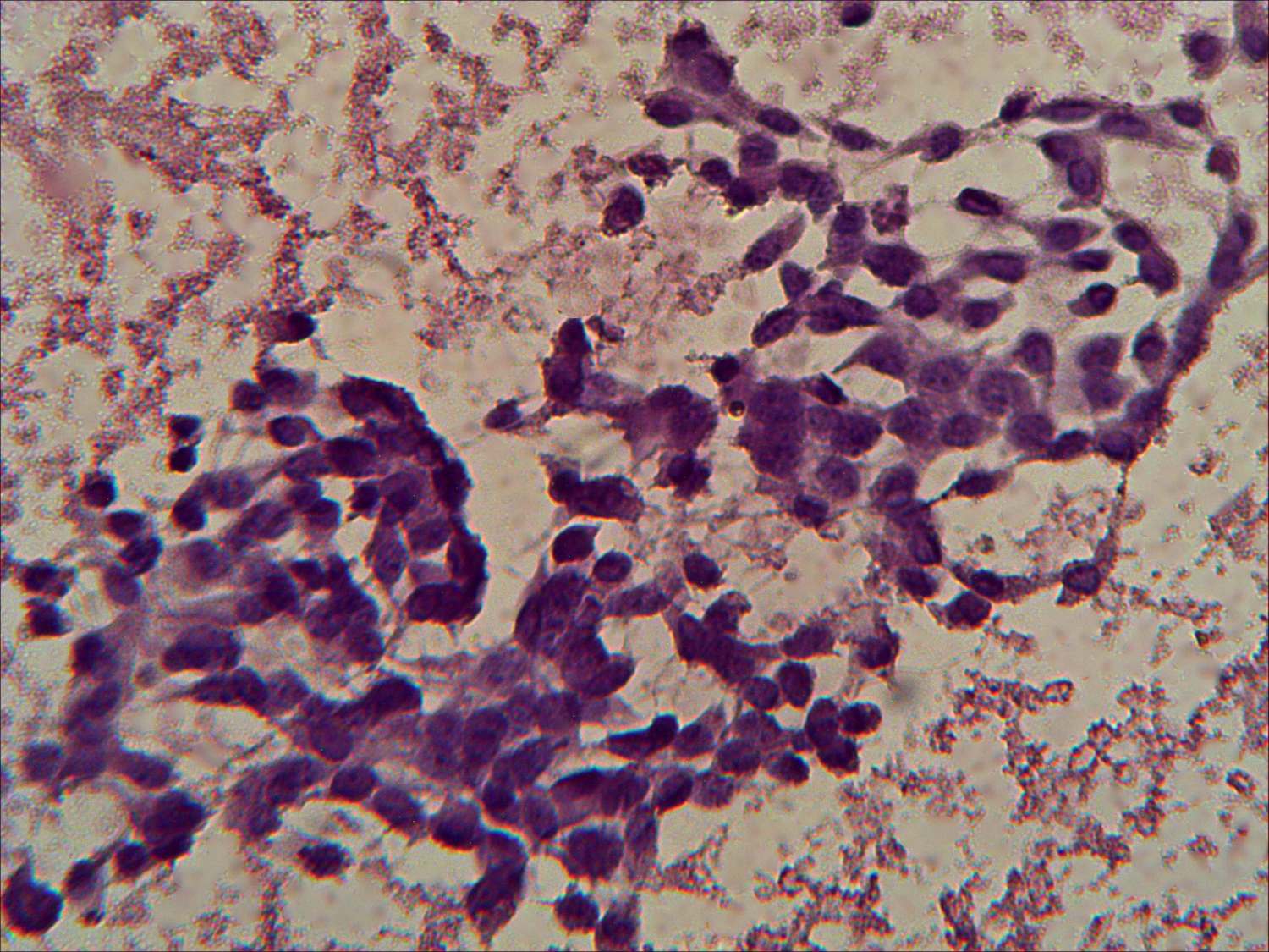
Intranodular hyperechogenic figures - case 777 (cytologic picture 3)
|
|
|
|
|
Pap-smear, 400x. It is worth analyzing the follicle-like structure on this higher magnification. The orientation and polarity of cells surrounding a central area differ from that observed in the case of a follicular tumor.

