Menu
Home
2 Nodular goiter
Echogenic figures
Cases
3 Non-nodular thyroid
4 Non-thyroid neck
5 US-interventions
6 Advanced courses
Supplement
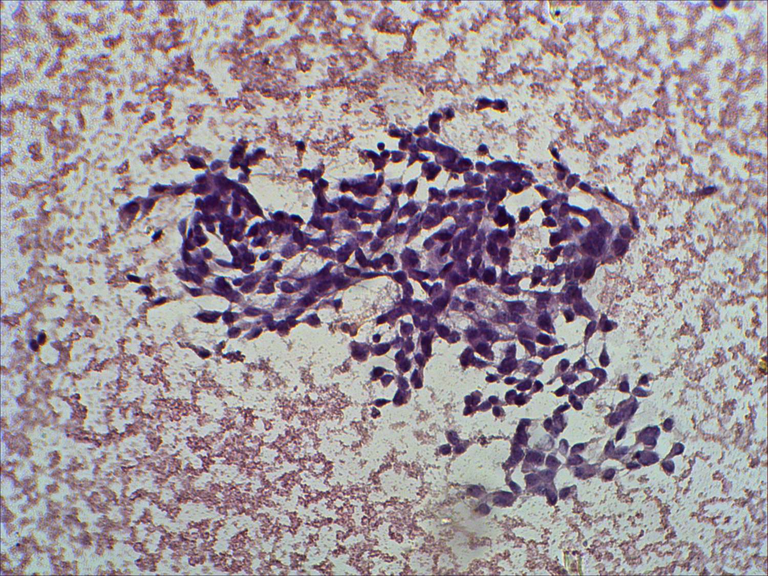
Intranodular hyperechogenic figures - case 777 (cytologic picture 4
)
Pap-smear, 200x. Elongated spindle cells are demonstrated on this image.