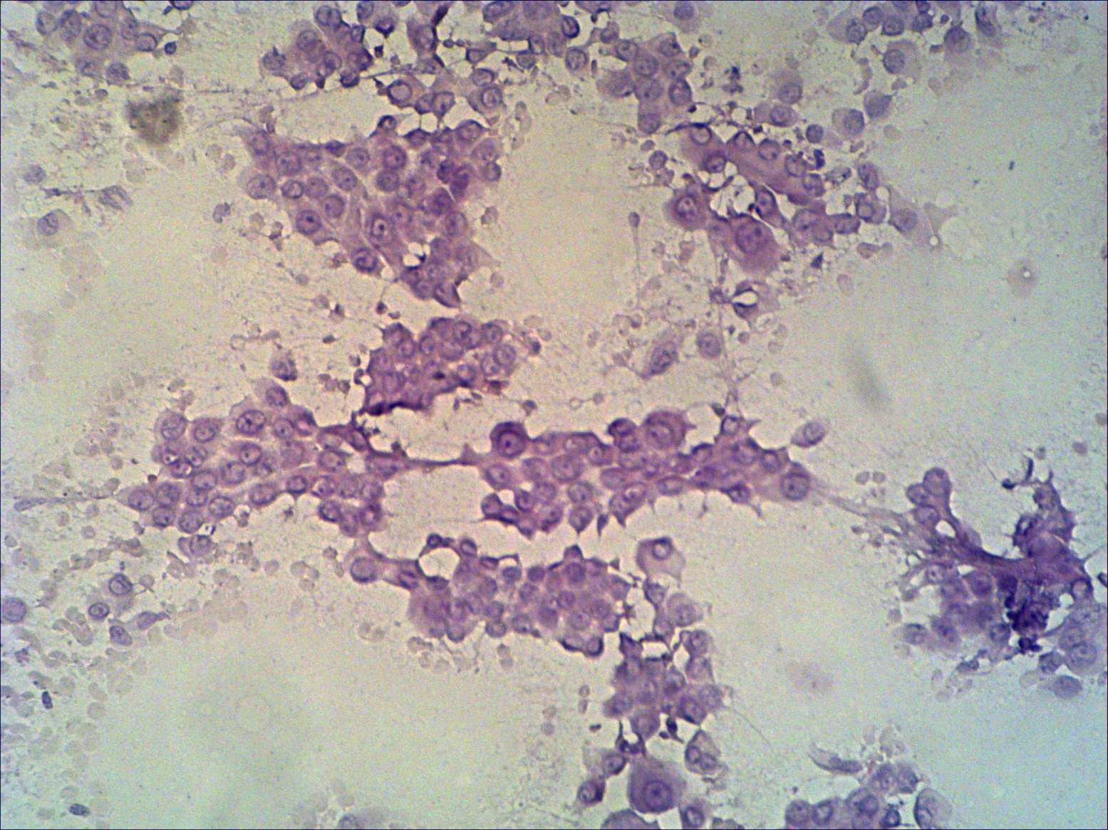
Halo sign and vascular pattern of nodules - case 304 (cytologic picture 2)


Previous picture Back to Case Maximize Next picture

Right lobe, longitudinal scan

Pap-smear, 200x.   Thyrocytes are located here in trabecular structures.

 

 

 

mask