Menu
Home
2 Nodular goiter
Halo sign and vascularization
Cases
3 Non-nodular thyroid
4 Non-thyroid neck
5 US-interventions
6 Advanced courses
Supplement
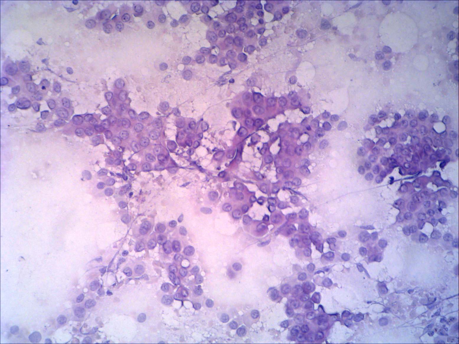
Halo sign and vascular pattern of nodules - case 304 (cytologic picture 3)
Pap-smear, 200x. Follicular cells have prominent nucleoli.