Halo sign and vascular pattern of nodules - case 304 (cytologic picture 4)
|
|
|
![]() |
|
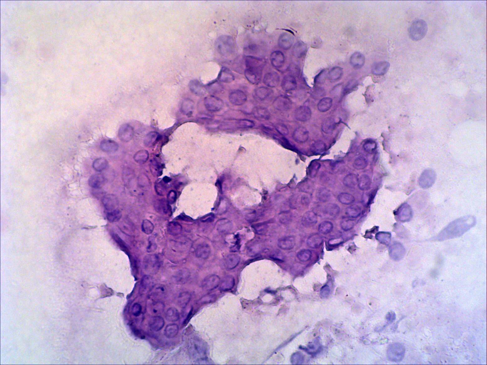
Pap-smear, 400x. An irregular papillary cluster with nuclear crowding and overlapping. The nuclei are pale and several of them contain inclusion.

