Halo sign and vascular pattern of nodules - case 304 (cytologic picture 5)


Previous picture Back to Case Maximize  

Right lobe, longitudinal scan

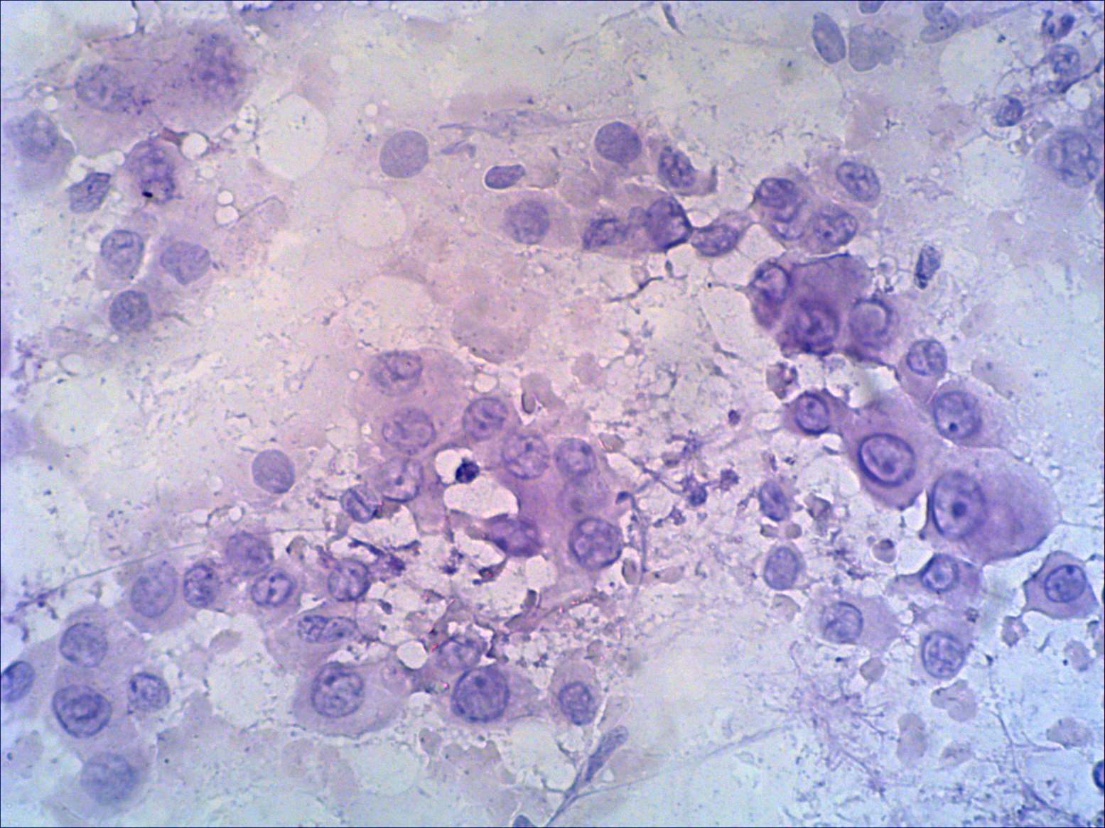
Pap-smear, 400x.   Many follicular cells contain either groove or inclusion.

 

 

 

mask