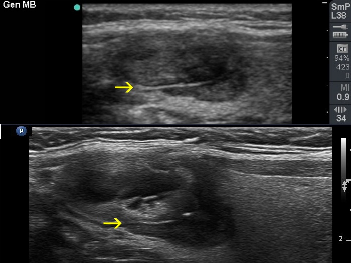
Halo sign and vascular pattern of nodules - case conp 068
Follow-up investigation seven years later (ultrasonographic picture 3c)
|
|
|
|
Right lobe, longitudinal scan. Comparison of the ultrasound patterns at first (upper image) and follow-up examination (lower image). Note that the nodule seen at the follow-up clearly as a distinct nodule had been already present at the first examination. However, at this time it did not differ in echogenicity from the larger nodule and was much smaller. Yellow arrows point to a connective tissue fiber which was present at both occasions.
