The shape of the nodule - case 873 (cytologic picture 3)
|
|
|
![]() |
|
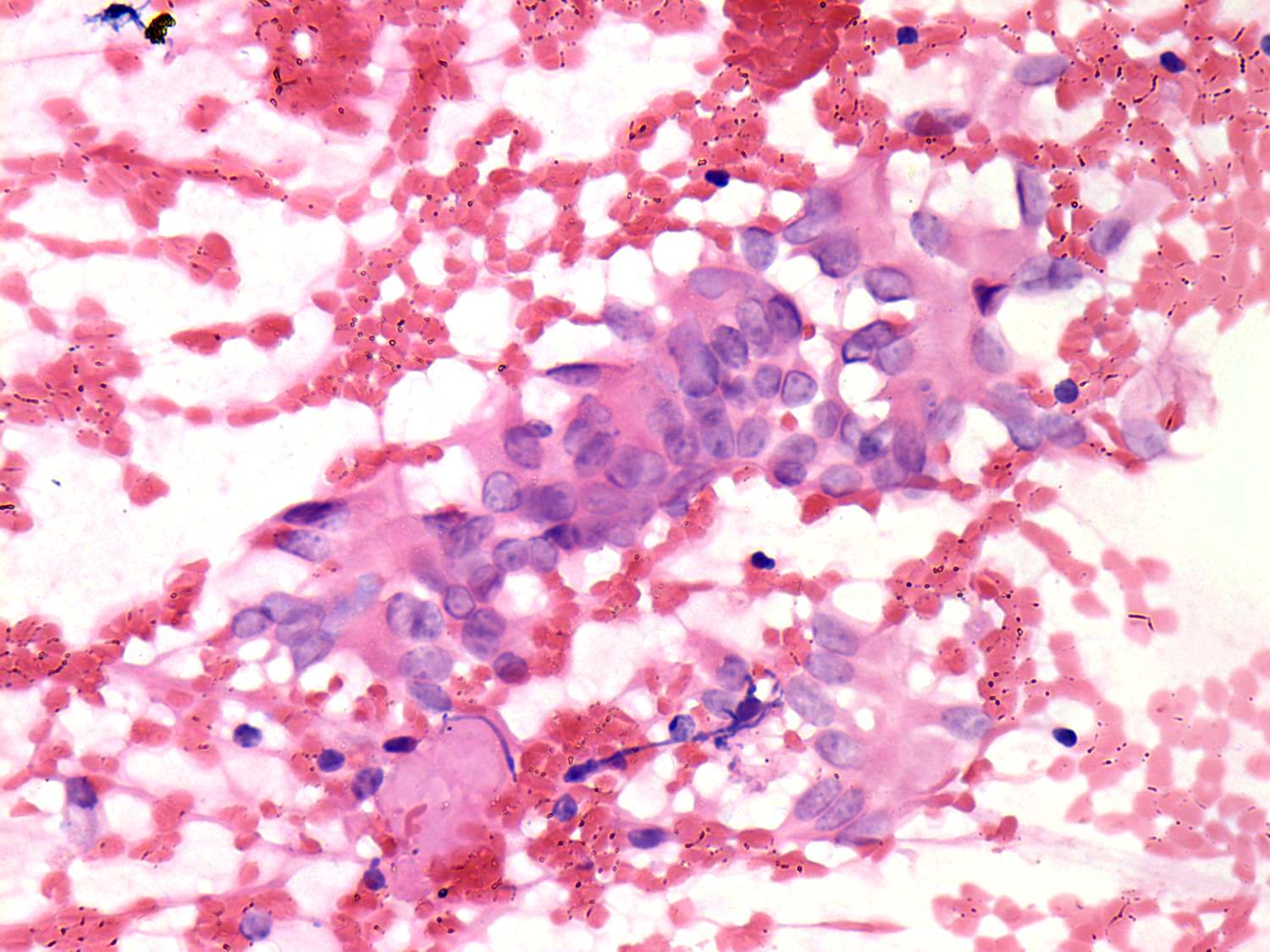
Pap-smear, 400x. There is an irregular cluster of follicular cells which show degenerative changes. Note the presence of lymphocytes.

