Menu
Home
2 Nodular goiter
Nodule' shape
Cases
3 Non-nodular thyroid
4 Non-thyroid neck
5 US-interventions
6 Advanced courses
Supplement
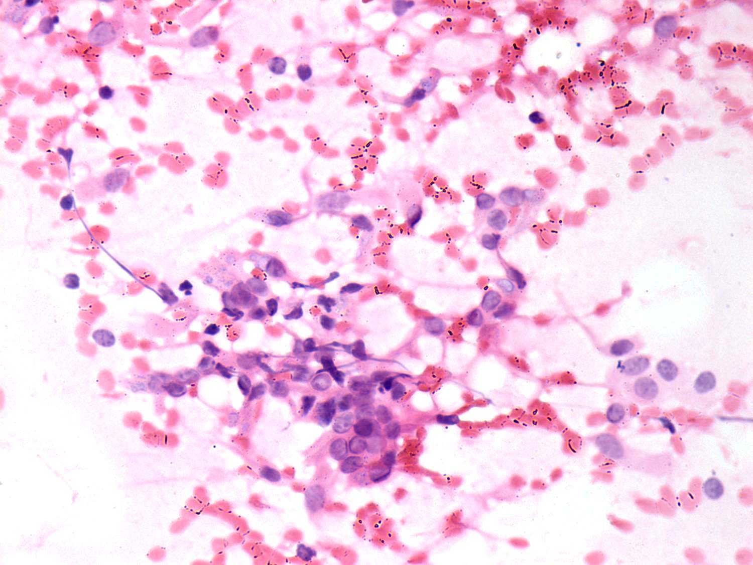
The shape of the nodule - case 873 (cytologic picture 4)
Pap-smear, 400x. Nuclear debris and lymphocytes are signs of degenerative changes.